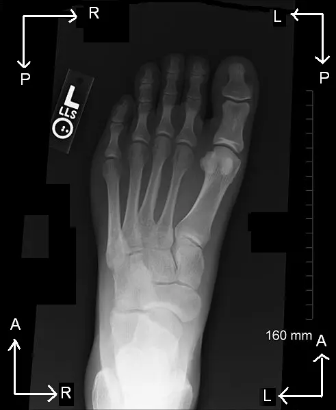
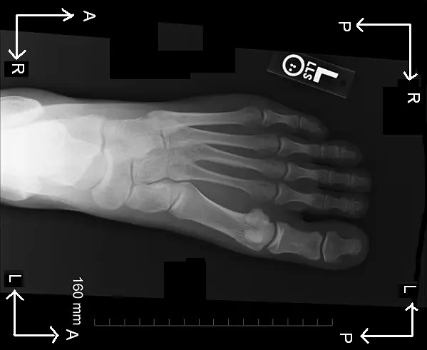
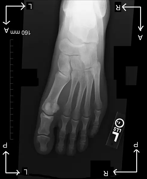
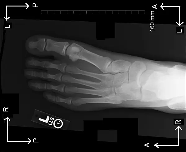
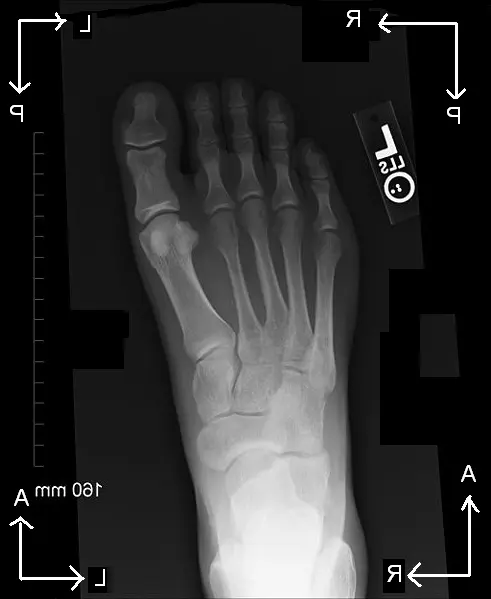
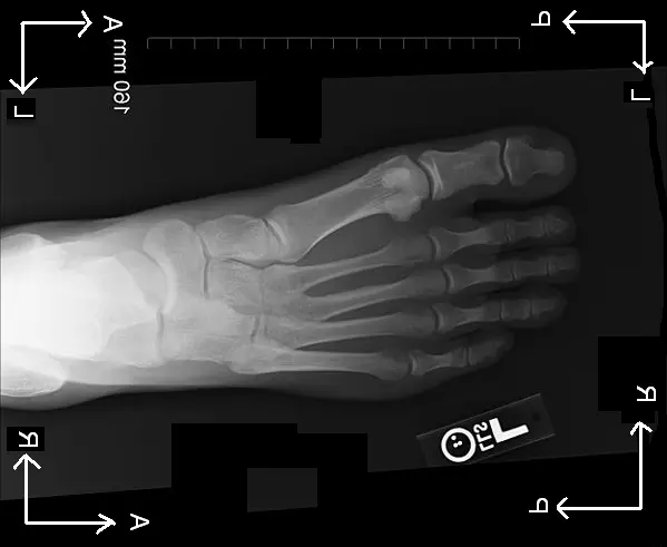
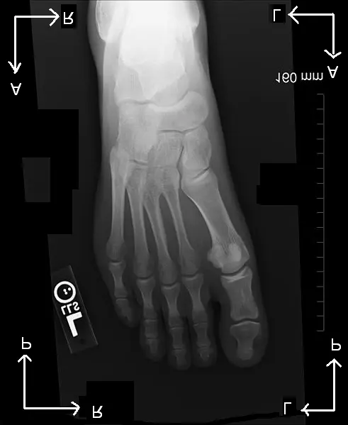
Patient Orientation
| Description | Value in (0020,0020) | Image |
|---|---|---|
| Original | R\P | ![]() |
| Rotated 90° | A\R | ![]() |
| Rotated 180° | L\A | ![]() |
| Rotated 270° | P\L | ![]() |
| H Flipped or V Flipped then Rotated 180° | L\P | ![]() |
| H Flipped then Rotated 90° or V Flipped then Rotated 270° | A\L | ![]() |
| H Flipped then Rotated 180° or V Flipped | R\A | ![]() |
| H Flipped then Rotated 270° or V Flipped then Rotated 90° | P\R | ![]() |







